从机制到应用,解锁抗癌新视野丨肝癌研究小鼠模型全攻略来啦
根据2024年国家癌症中心发布的统计数据。2022年我国癌症新发病例482.47万,其中肝癌新发病例36.77万(占7.62%),死亡病例31.65万(占癌症死亡病例数的12.30%[1])。中国已成为全球肝癌发病率与死亡率最高的国家之一[2],且患者5年生存率仅14.1%的严峻现实[1],防控形势严峻。构建精准模拟肝癌特征的临床前评价模型,成为突破治疗瓶颈的关键。本文将结合肝癌发病机制,系统梳理肝癌研究中常用的小鼠模型及其应用价值。

图1. Liver cancer-related incidence and mortality rates estimates in 2020 for different age groups among males or females. (A) Age-standardized incidence rates (ASIR) and (B) Age-standardized mortality rates (ASMR)[4].
1. 肝癌的发病机制
肝癌通常指原发性肝癌,主要分为肝细胞癌(HCC)、肝内胆管癌(ICC)和混合型肝癌三类。
肝细胞癌:发病与慢性乙型 / 丙型肝炎、肝硬化密切相关,黄曲霉毒素暴露、长期酗酒、肥胖及糖尿病等也是关键诱因(见图2)。
肝内胆管癌:多与肝内胆管慢性炎症、先天性胆管结构异常或胆管结石相关,发病机制涉及胆管上皮细胞的长期刺激与基因突变;
混合型肝癌:兼具肝细胞癌与肝内胆管癌的双重发病机制。
肝癌发病机制复杂,早期症状隐匿,导致临床治疗面临巨大挑战。传统治疗手段已难以满足临床需求,新的治疗方式正在被不断探索,这一过程中,小鼠模型在临床前研究中建立的病理机制数据和治疗反应特征,为后续临床转化研究提供了关键参考依据。

图2. The main mechanism of hepatic carcinoma caused by metabolic fatty liver disease[5].
2. 肝癌相关动物模型
在肝癌研究的不同阶段,针对剖析发病机制、测试药物疗效等差异化研究目标,合理选择适配的小鼠模型至关重要。以下将系统介绍肝癌研究中常用的小鼠模型体系。
2.1 肝癌自发肿瘤小鼠模型
Myc肝特异性过表达小鼠
Myc基因(又称 c-Myc 基因)在多种肿瘤组织中存在异常高表达,其功能贯穿细胞增殖、代谢调控、血管生成、恶性转化及凋亡抑制等关键生物学过程。通过B6-CAG-LSL-hMYC小鼠与B6-Alb-iCre小鼠配繁,后代小鼠可在10周龄时诱导形成肝癌,是模拟肝癌自发演进的经典模型。
部分验证数据如下:
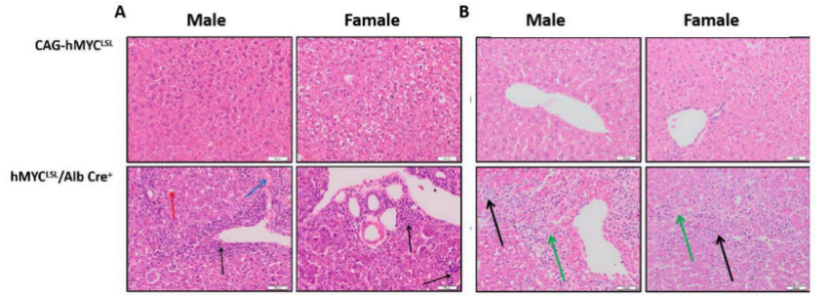
B6-CAG-LSL-hMYC; Alb-iCre小鼠模型

图3. CAG-LSL-hMYC; Alb-iCre小鼠模型肝脏病理检测。9w时(图A),hMYC LSL/+;Alb Cre+小鼠发展为肝炎,可见大量炎性细胞浸润,肝细胞脂肪空泡化,肝小叶多个炎性病灶,纤维组织增生。10w时(图B),hMYC LSL/+;Alb Cre+小鼠肝脏中癌细胞呈巢状,肝组织严重破坏,部分肝细胞坏死,大量纤维组织增生,形成纤维组织间隔,大量炎性细胞浸润及脂肪空泡(200X,bar=50µm;黑色箭头:炎性细胞浸润;红色箭头:脂肪空泡化;绿色箭头:癌细胞浸润;蓝色箭头:间质纤维化)
KRAS突变小鼠
KRAS作为膜锚定GTP酶信号蛋白,是RAS基因家族核心成员,参与调控细胞生长、增殖、及分化等关键生命活动。其第12、13和61位氨基酸突变可使KRAS蛋白质持续结合GTP而处于活化状态,通过招募多种效应分子激活下游通路,最终导致细胞增殖失控并诱发癌变。
为探究KRAS突变与肝癌发生的因果关系,集萃药康构建了B6-Loxp-Stop-Loxp Kras G12D小鼠模型(简称 B6-Kras-LSL-G12D),该模型与肝脏异性表达Cre小鼠重组酶的B6-Alb Cre 小鼠配繁后,后代小鼠在36周龄时可发展为肝癌,表现为全肝组织被肿瘤组织广泛覆盖。
部分验证数据如下:
B6-Kras-LSL-G12D小鼠模型

图4. Kras-LSL-G12D; Alb-iCre小鼠模型肝脏病理检测。B6-Kras-LSL-G12D小鼠与B6-Alb Cre小鼠配繁,获得肝脏细胞特异性删除LSL的B6-KrasG12D/+;Alb Cre小鼠,在小鼠36w时,取肝脏组织进行石蜡包埋、HE染色。结果显示,小鼠肝脏发展为肝癌,整个肝组织被覆肿瘤组织,肿瘤细胞呈腺管状,肝组织间质疏松,存在坏死区(200X,bar=50µm;红色箭头:肿瘤细胞腺管状;绿色五角星:团块状病灶区胞质疏松;黄色三角形:静脉区可见肿瘤细胞组成的团块状病灶)
Trp53突变小鼠
Trp53基因为人类抑癌基因p53的小鼠同源基因,在细胞周期调控、DNA损伤修复及细胞凋亡等过程中发挥核心抑癌功能。其功能在小鼠中高度保守,通过维持基因组稳定性抑制细胞异常增殖及肿瘤发生。Trp53突变或失活会破坏细胞生长调控机制,显著增加肿瘤发生风险。文献表明,肝上皮细胞中的KRAS G12D和p53功能缺失协同作用可诱发肝内胆管癌[8]。
集萃药康开发的B6-KP小鼠模型可与组织特异性Cre小鼠配繁,通过Cre重组酶介导的基因组编辑,删除Floxed Stop元件并激活内源性KRAS G12D和p53 R172H蛋白表达,实现肿瘤起始时间、发生部位及表型多样性的精准调控。
集萃药康部分肝癌自发肿瘤小鼠模型

*部分品系尚未在肝脏组织中进行系统性验证实验,目前仅基于相关文献研究证实相关致癌基因可诱发肝癌[3, 8-10],建议在开展肝脏肿瘤研究时谨慎评估模型适用性。
2.2 肝癌异种移植瘤模型
肝癌异种移植瘤模型是将人类肝癌细胞系或患者肝癌组织移植至免疫缺陷小鼠体内,构建人源肿瘤细胞与鼠源间质/免疫细胞共存的异种移植体系。该模型在肝癌发生机制解析、药物筛选及疗效评估中具有广泛应用价值。
异种移植瘤模型
肝癌异种移植瘤模型主要分为两类:患者来源异种移植模型(PDX)与细胞系来源异种移植模型(CDX)。
(1)PDX肝癌模型
直接移植肝癌患者的肿瘤组织至免疫缺陷小鼠,可高度模拟原发肿瘤和转移肿瘤的特征,保留患者肿瘤组织学特征和基因型/表型异质性,是研究肿瘤复杂性、药物耐药机制及个性化治疗筛选的核心工具。但其存在建模成本高、周期长(需3-6个月)、成功率较低(约 30%-50%)等局限性。
(2)CDX肝癌模型
将人源肝癌细胞系(如HepG2细胞系、PLC/PRF/5)通过皮下或原位(肝脏)注射至免疫缺陷小鼠体内。该模型具有成本低、操作简单、实验周期短(2-4 周成瘤)及可重复性强等优势,广泛应用于肿瘤学基础研究与药物高通量筛选。

图5. CDX模型——原位移植瘤肝癌模型的构建[6]
作为行业领先的小鼠模型供应商,集萃药康不仅拥有全面的小鼠模型资源库,更构建了丰富的人源肿瘤细胞组织平台。其中,肝癌相关CDX细胞系资源涵盖野生型、荧光标记等多种类型,可充分满足客户在药物开发与科研中的多样化需求。
集萃药康部分CDX资源

部分验证数据:

图6.人源肝癌细胞系在免疫缺陷小鼠中的成瘤情况
同系移植瘤模型
同系移植瘤模型是将同品系来源的肿瘤细胞植入遗传背景一致的免疫健全小鼠体内构建的模型体系(见图7)。其核心优势在于保留完整宿主免疫系统,可精准模拟肿瘤与免疫微环境的动态互作,尤其适用于免疫治疗药物开发及肿瘤免疫机制研究。此外,该模型遗传背景高度均一,具有实验重复性强,成本较低等特点,适合高通量药物筛选。尽管存在物种差异及肿瘤异质性有限的局限性,无法完全复刻人类肝癌复杂性,但仍是解析肝癌发生发展机制与创新疗法开发的关键工具。

图7. 小鼠同系移植瘤模型的构建[7]
(1)同系移植瘤移植物资源
集萃药康作为肿瘤研究领域专业合作伙伴,建立了丰富的鼠源肿瘤细胞资源库,涵盖野生型、靶点人源化及荧光标记等多种鼠源肝癌细胞系,为行业提供从模型构建到机制研究的全链条高质量服务。
集萃药康部分同系移植瘤移植物资源

部分验证数据:

图8. 鼠源肝癌细胞系在免疫健全小鼠中的成瘤情况
(2)同系移植瘤宿主资源:肝癌药物靶点人源化小鼠模型
在肝癌靶向药物的临床前药效评估中,常规免疫健全小鼠面临着关键挑战。由于小鼠与人类靶点蛋白的结构差异,针对人源靶点设计的靶向药物(如单抗、双抗等)无法有效结合小鼠同源靶点,导致临床前药效与安全性评估难以开展。
通过基因编辑技术将小鼠靶点基因替换为人源基因,可构建精准模拟药物-靶点相互作用的人源化模型,有效破解“人鼠靶点结合域不兼容”难题。该模型不仅可用于解析靶向药物的体内药代动力学及药效动力学机制,还能深入研究免疫相关不良反应,为肝癌靶向药物的临床前研发提供不可或缺的关键工具。
集萃药康部分肝癌药物靶点人源化模型

文中涉及的组织/细胞资源仅限于集萃药康相关服务项目,不支持单独出售;如需获取具体小鼠模型产品数据,欢迎扫描下方二维码咨询。

参考资料:
[1] Natl Cancer Cent. 2024 Feb 2;4(1):47-53.
[2] Sci Rep. 2025 May 5;15(1):15682.
[3] 中国实验动物学报,2022,30(8):1058~1063.
