BALB/c-hCTLA4临床前毒理学评价药物的模型
基于C57BL/6-hPD1/hCTLA4与BALB/c-hPD1/hCTLA4小鼠分别进行Anti-PD1与Anti-CTLA4联用的毒副评价
1、PD1抗体药联合Yervoy药在B6和BALB/c背景小鼠的生长曲线结果表明,BALB/c在第9天的时候出现死亡,直到后期才表现出耐受现象

2、CTLA4的Yervoy药物在临床试验过程中的数据显示临床病人出现明显的皮疹、肝炎、腹泻、结直肠炎等症状。BALB/c背景的小鼠出现明显的关节炎,皮疹脱毛等症状,而B6背景的小鼠没有出现明显的病理症状。


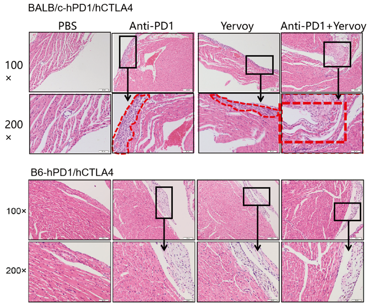
3、CTLA4的Yervoy药物在临床生化分析过程中,BALB/c背景小鼠的乳酸脱氢酶(LDH)和肌酸激酶(CK)明显高于B6背景小鼠,表明Yervoy药物对小鼠的心脏损伤在BALB/c背景鼠上更明显。

4、CTLA4的Yervoy药物对小鼠心脏产生不同程度的炎症损伤,BALB/c小鼠心脏的炎症损伤比B6背景小鼠严重。

B6-hPD1/CTLA4背景小鼠模型对药物治疗具有耐受性;BALB/c-hPD1/hCTLA4背景的免疫检查点人源化小鼠模型能够重现临床中一些不良反应,是大分子、小分子的临床前药物毒性评价的理想模型。
CTLA4的Yervoy药物对小鼠心脏产生不同程度的炎症损伤,BALB/c小鼠心脏的炎症损伤比B6背景小鼠严重。
