特应性皮炎
特应性皮炎(atopic dermatitis, AD)又称特应性湿疹,是一种易复发、瘙痒性的炎症性皮肤病,是皮肤科最常见的疾病之一,发病率高且难以根治。
模型资源
AD模型 | OXA诱导的AD模型 | MC903诱导的AD模型 | DNFB诱导的AD模型 |
模型特点 | 该模型适用于靶向Th1、Th2、Th17以及系统性免疫抑制剂等药物的评价。 | 该模型适用于靶向Th2以及上皮细胞相关药物的评价,同时也适用于系统性免疫抑制剂以及抗组胺相关药物的评价。 | 该模型适用于靶向Th1/Th17/Th22、上皮细胞、系统性免疫抑制剂以及抗组胺相关药物的评价。 |
OXA诱导小鼠特应性皮炎模型
造模方式:使用BALB/cJGpt 6-8w 雌鼠,涂抹恶唑酮(Oxazolone, OXA)致敏一次,7天后持续诱导造模,并进行体内药效验证。
诱导原理:恶唑酮(OXA)属于半抗原,使用半抗原刺激小鼠(如BALB/c小鼠等)皮肤,可形成类似特应性皮炎的症状和病理特征。
数据展示:

与G1对照组相比,OXA能够诱导小鼠背部和耳部皮肤组织增厚,疾病评分增加,证明OXA能够成功诱导小鼠皮炎表型。
与G2组(OXA造模组)比较,DXMS给药后背部皮肤厚度(左1)和耳朵皮肤厚度(左2)显著降低,背部皮肤评分显著降低(右2),小鼠血清中IgE水平显著降低(右1)。

MC903诱导小鼠特应性皮炎模型
造模方式:使用BALB/cJGpt 7-8周龄 雌鼠,每天用维生素D3类似物卡泊三醇(MC903)外敷小鼠耳朵14天诱导造模,并进行体内药效验证。
诱导原理:MC903诱导角化细胞产生TSLP,并激活2型先天性淋巴细胞以及Th2细胞产生过量的细胞因子。
数据展示:

与G1对照组相比,G2造模组小鼠耳部皮肤组织增厚,疾病评分增加,证明MC903能够成功诱导小鼠皮炎表型。与G2造模组相比,G3组小鼠涂抹地塞 米松(Dexamethasone),G4组小鼠涂抹克立硼罗(Crisaborole,PDE-4抑制剂)后,耳朵皮肤厚度显著降低、疾病评分显著缓解、血清IgE水平显著降低、皮肤组织淋巴细胞因子恢复正常。

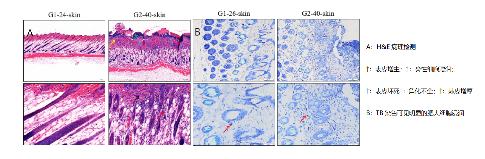
DNFB诱导小鼠特应性皮炎模型
造模方式:采用BALB/cJGpt 7-8周龄雌鼠造模,使用二硝基氟苯(1-Fluoro-2,4-dinitrobenzene,DNFB)多次涂抹皮肤致敏诱导小鼠特应性皮炎。
诱导原理:DNFB是一种半抗原,当DNFB与皮肤接触时会诱发免疫系统过度激活迟发性超敏反应,慢性持续性刺激继可导致特异性皮炎样表型。
数据展示:

与G1对照组相比,G2造模组小鼠背部皮肤组织增厚,疾病评分增加,IgE水平增加以及抓挠次数明显增加,证明DNFB能够成功诱导小鼠皮炎表型。

